Non-Surgical Gum Treatments
Tooth-Colored Fillings
Porcelain Veneers
Crowns & Bridges
Inlays & Onlays
Root Canals
Dental Implants
Whitening
Instant Orthodontics (Invisalign)

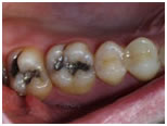
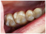
Tooth-Colored Fillings

Before  After

Mercury is a highly toxic substance. While some dentists still feel comfortable placing it in their patient's mouths, Dr. Simchian does not.
As a leading Maryland cosmetic dentist, Dr. Simchian feels strongly that the potential side effects of mercury should be eliminated by replacing them with BEAUTIFUL white bonded restorations.
In these photos, the back two teeth used to be filled with dark silver fillings. Dr. Simchian replaced them with these beautiful bonded restorations.